Table of Contents
Washington University Experience | PERIPHERAL NEUROPATHY | 11 VASCULITIS - VASCULOPATHY | 4 Polyarteritis nodosa | 14A1 PAN (Case 14) H&E 4X
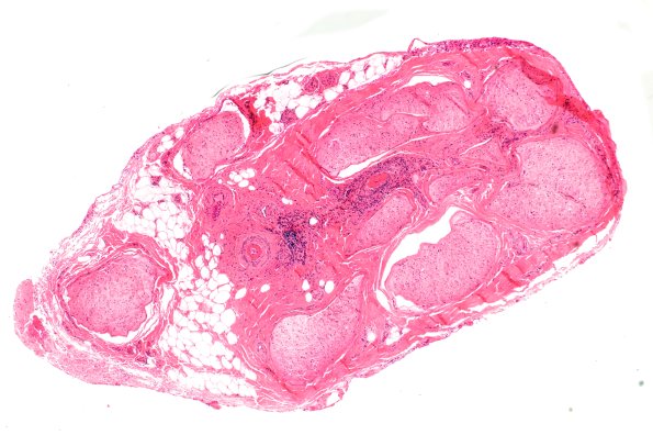
Case 14 History ---- The patient is a 68 year old man with right arm and lower extremity (bilateral) weakness. The patient has a history of numbness in the lower extremities beginning several years previously. Clinical diagnosis: Polyneuropathy. Operative procedure: Sural nerve biopsy. 14A1,2 The adjacent fascicles to these angionecrotic vessels are pale, likely from loss of axons and/or myelin. (H&E)
