Table of Contents
« prev
next »
Washington University Experience
|
PERIPHERAL NEUROPATHY
|
11 VASCULITIS - VASCULOPATHY
|
4 Polyarteritis nodosa
|
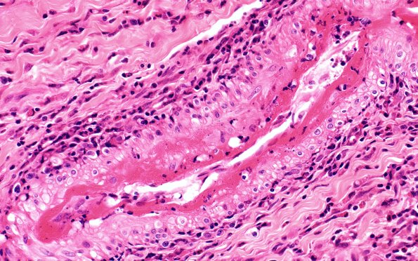
15A2 PAN (Case 15) H&E 40X
The longitudinal section shows prominent fibrinoid vascular necrosis. (H&E)
Image Info
Camera Maker:
Olympus
Camera Model:
DP74
Shutter Speed:
3/616 sec
Metering Mode:
Multi-Spot
Gallery RSS
|
Archive View
|
Login
|
Powered by
Zenphoto