Table of Contents
Washington University Experience | PERIPHERAL NEUROPATHY | 11 VASCULITIS - VASCULOPATHY | 4 Polyarteritis nodosa | 1A1 PAN (Case 1) H&E 4X 1
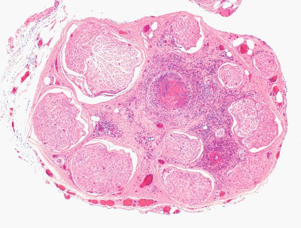
Case 1 History ---- The patient is a 59 year old woman with a pre-biopsy suspicion for vasculitis. Operative procedure: Left sural nerve biopsy. ---- 1A1 A classic appearance of polyarteritis nodosa involving the sural nerve in this case. The epicenter of the vasculitis involves epineurial midsized arterioles which exhibit fibrinoid necrosis. Adjacent fascicles may show pallor and axon loss but the frequently of axon loss often varies from fascicle-to-fascicle. (H&E)
