Table of Contents
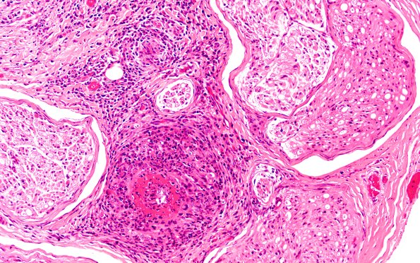
Washington University Experience | PERIPHERAL NEUROPATHY | 11 VASCULITIS - VASCULOPATHY | 4 Polyarteritis nodosa | 1A4 PAN (Case 1) H&E 20X 2
1A4-6 Inflammation spills out into the epineurium, involves various fascicles and surrounds other epineurial vessels. (H&E)
