Table of Contents
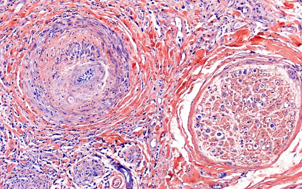
Washington University Experience | PERIPHERAL NEUROPATHY | 11 VASCULITIS - VASCULOPATHY | 4 Polyarteritis nodosa | 1B8 Vasculitis, P Nodosa (Case 1) PTAH
1B8,9 Two vessels show chronic injury with thrombosis and recanalization in the absence of active fibrin deposition, reflecting chronic change and healing. Although PTAH is not a specific axon stain, it is clear that there is a great deal of axon loss. (PTAH)
