Table of Contents
Washington University Experience | PERIPHERAL NEUROPATHY | 11 VASCULITIS - VASCULOPATHY | 4 Polyarteritis nodosa | 1C1 PAN (Case 1) Plastic 4X 2
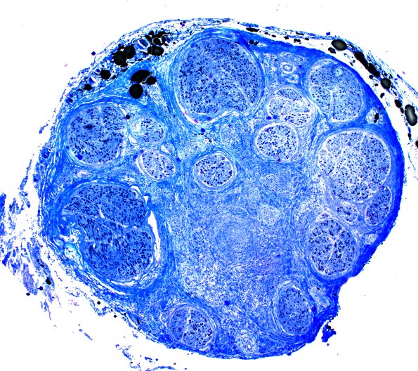
1C1-3 This plastic section of the nerve demonstrates the epineurial arteritis as well as illustrating the significant loss of axons with fascicle to fascicle variability of axon density. Fibrin is not deposited equally from region to region along the vessel. (Plastic section)
