Table of Contents
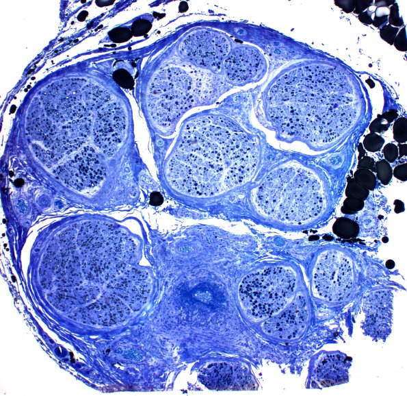
Washington University Experience | PERIPHERAL NEUROPATHY | 11 VASCULITIS - VASCULOPATHY | 4 Polyarteritis nodosa | 1C4 PAN (Case 1) Plastic 4X a
1C4,5 At another level the vessel shows destruction and dark blue fibrin deposition. (Plastic section)
