Table of Contents
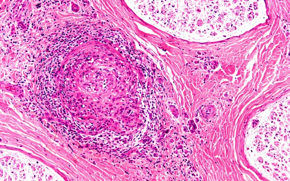
Washington University Experience | PERIPHERAL NEUROPATHY | 11 VASCULITIS - VASCULOPATHY | 4 Polyarteritis nodosa | 2A2 Vasculitis, PAN (Case 2) H&E 20X
Although there is a major vessel undergoing angionecrosis there are numerous areas of epineurial inflammatory deposits but very little in the endoneurium. (H&E)
