Table of Contents
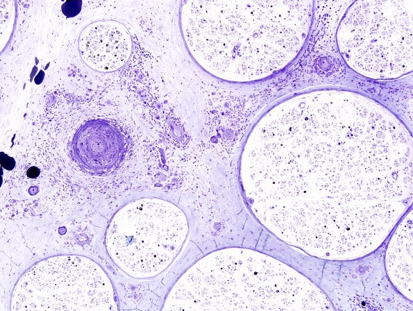
Washington University Experience | PERIPHERAL NEUROPATHY | 11 VASCULITIS - VASCULOPATHY | 4 Polyarteritis nodosa | 2B1B Vasculitis, Polyarteritis Nodosa (Case 2) Plastic 45
2B1B,C Higher magnification of the major arteriole in which a portion of the elastic lamina remains. (plastic section)
