Table of Contents
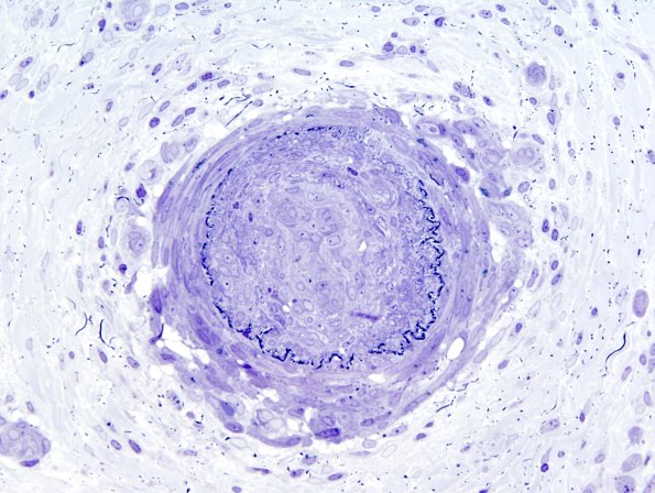
Washington University Experience | PERIPHERAL NEUROPATHY | 11 VASCULITIS - VASCULOPATHY | 4 Polyarteritis nodosa | 2B2C Vasculitis, Polyarteritis Nodosa (Case 2) Plastic 26
Higher magnification images showing the extent of principal arteriole involvement. (plastic section)
