Table of Contents
Washington University Experience | PERIPHERAL NEUROPATHY | 11 VASCULITIS - VASCULOPATHY | 4 Polyarteritis nodosa | 2B3D Vasculitis, Polyarteritis Nodosa (Case 2) Plastic 7
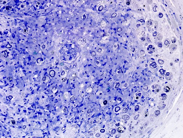
This is not the typical appearance of a PAN fascicle in which there is frank intrafascicular hemorrhage and ongoing axonal degeneration. (plastic section)
