Table of Contents
Washington University Experience | PERIPHERAL NEUROPATHY | 11 VASCULITIS - VASCULOPATHY | 4 Polyarteritis nodosa | 2B3G-Vasculitis-PAN-Case 2-Plastic-13.jpg
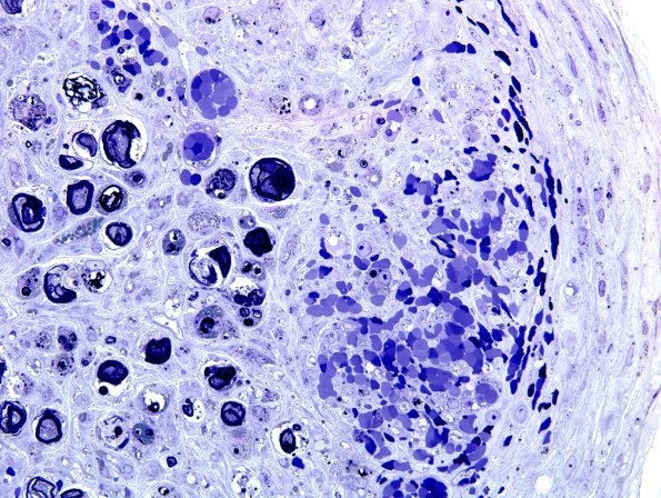
In a fascicle adjacent to image #2B3C there is patchy endoneurial and perineurial hemorrhage accompanied by ongoing axonal degeneration. (plastic section)
