Table of Contents
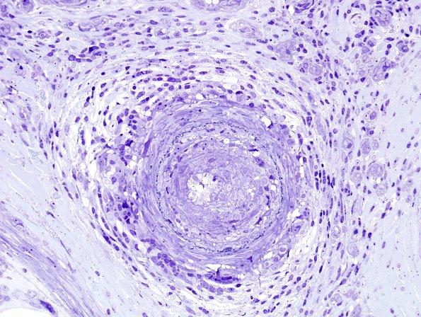
Washington University Experience | PERIPHERAL NEUROPATHY | 11 VASCULITIS - VASCULOPATHY | 4 Polyarteritis nodosa | 2B3K Vasculitis, Polyarteritis Nodosa (Case 2) Plastic 37
Several magnification images of the epineurial microvasculature. (plastic section)
