Table of Contents
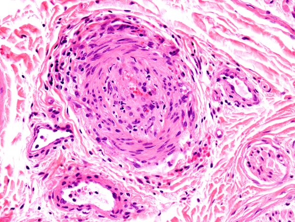
Washington University Experience | PERIPHERAL NEUROPATHY | 11 VASCULITIS - VASCULOPATHY | 4 Polyarteritis nodosa | 3A2 Vasculitis, PAN (Case 3) Pentachrome 2
A major arteriole is thrombosed with a small amount of residual fibrin and dense areas of epineurial perivascular lymphocytic infiltrate. (Pentachrome stain)
