Table of Contents
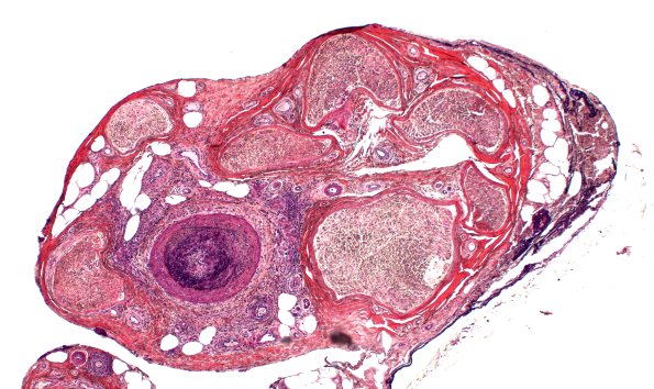
Washington University Experience | PERIPHERAL NEUROPATHY | 11 VASCULITIS - VASCULOPATHY | 4 Polyarteritis nodosa | 5A1 PAN (Case 5) PTAH 4X
Case 5 No History PAN ---- 5A1-3 A PTAH stain demonstrates a large amount of fibrin within the walls of the principal arteriole. (PTAH)
