Table of Contents
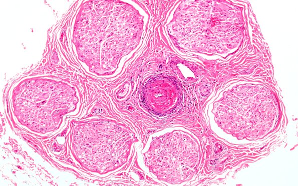
Washington University Experience | PERIPHERAL NEUROPATHY | 11 VASCULITIS - VASCULOPATHY | 4 Polyarteritis nodosa | 6A1 PAN (Case 6) H&E 10X 2
Case 6 History ---- The patient is a 61-year old female. No clinical history was provided. ---- 6A1-4 Microscopic examination of the "left sural nerve" biopsy material shows epineurial vasculitis (involving small arteries) characterized by fibrinoid necrosis and infiltration of lymphohistiocytic cells into the vessel wall. (H&E)
