Table of Contents
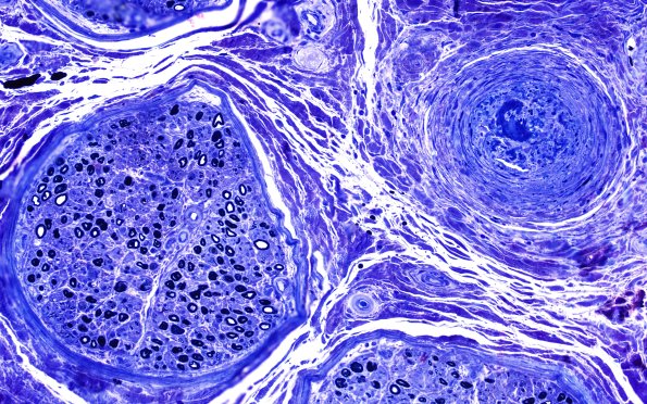
Washington University Experience | PERIPHERAL NEUROPATHY | 11 VASCULITIS - VASCULOPATHY | 4 Polyarteritis nodosa | 6B1 PAN (Case 6) Plastic 20X
6B1,2 One micron thick toluidine blue stained sections of the plastic embedded nerve show active axonal degeneration and loss of large and small myelinated fibers accompanied by fibrin deposition (plastic section).
