Table of Contents
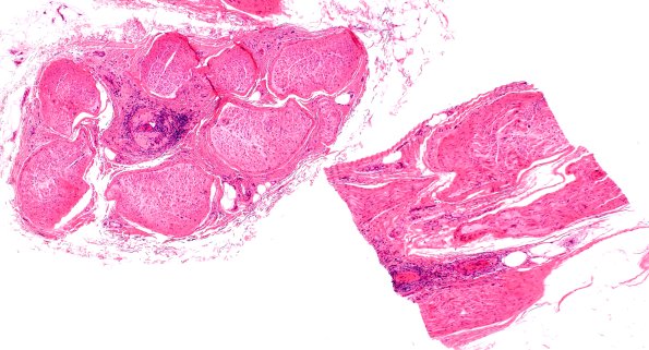
Washington University Experience | PERIPHERAL NEUROPATHY | 11 VASCULITIS - VASCULOPATHY | 4 Polyarteritis nodosa | 7A1 PAN (Case 7) H&E 4X
Case 7 History ---- The patient is a 63 year old woman with possible neuritis. Clinical diagnosis is mononeuritis multiplex. Operative procedure: Left gastrocnemius and left sural nerve biopsies. ---- 7A1,2 This vessel shows fibrinoid vascular necrosis with partial thrombosis and several recanalized channels (arrows). (H&E)
