Table of Contents
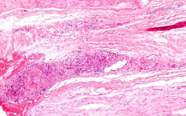
Washington University Experience | PERIPHERAL NEUROPATHY | 11 VASCULITIS - VASCULOPATHY | 4 Polyarteritis nodosa | 8A1 PAN (Case 8) H&E 10X 1
Case 8 History ---- The patient is a 70 year old man with clinical and electrophysiologic findings of peripheral neuropathy. He has been in acute renal failure for the past two to three weeks. He has ANA 1:640. Operative procedure: Right sural nerve biopsy. ---- 8A1,2 A longitudinal section of the sural nerve showing fibrinoid vascular necrosis of an epineurial arteriole. (H&E)
