Table of Contents
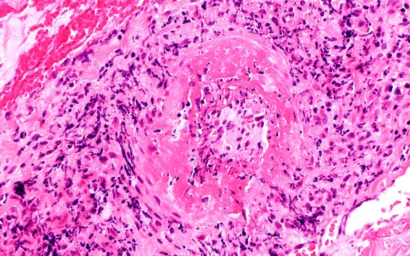
Washington University Experience | PERIPHERAL NEUROPATHY | 11 VASCULITIS - VASCULOPATHY | 4 Polyarteritis nodosa | 8A2 PAN (Case 8) H&E 40X 1
A longitudinal section of the sural nerve showing fibrinoid vascular necrosis of an epineurial arteriole. (H&E)
