Table of Contents
Washington University Experience | PERIPHERAL NEUROPATHY | 11 VASCULITIS - VASCULOPATHY | 4 Polyarteritis nodosa | 8B1 Vasculitis (Case 8) SMA 8
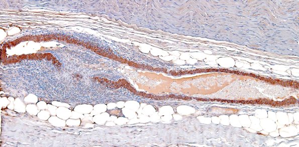
8B1,2 This is a longitudinal section of a large epineurial arteriole stained for smooth muscle actin. Notice that if cut in cross section at one level it would appear that the nerve was unaffected and at another level that the vessel was completely thrombosed. It is worth stressing that vasculitis may be focal along the nerve. (SMA IHC)
