Table of Contents
« prev
next »
Washington University Experience
|
PERIPHERAL NEUROPATHY
|
11 VASCULITIS - VASCULOPATHY
|
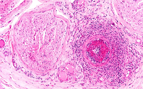
4 Polyarteritis nodosa
|
9A3 (Case 9) H&E 20X 2
Various magnification images of this nerve with fibrinoid vascular necrosis. (H&E)
Image Info
Camera Maker:
Olympus
Camera Model:
DP74
Shutter Speed:
1/1000 sec
Metering Mode:
Multi-Spot
Gallery RSS
|
Archive View
|
Login
|
Powered by
Zenphoto