Table of Contents
Washington University Experience | PERIPHERAL NEUROPATHY | 12 ANTI-MAG NEUROPATHY | 0A3 Anti-MAG NP (Case 0) EM 007 - Copy
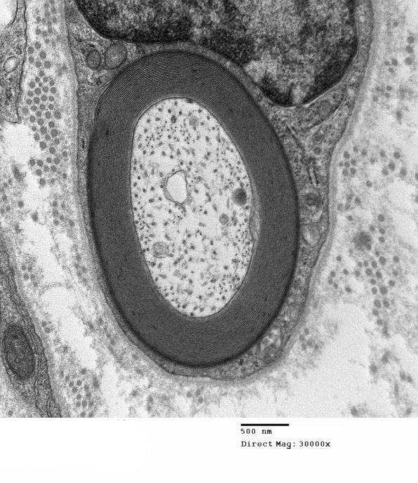
0A3-5 These are electron micrographs of a small myelinated sural nerve axon with several magnifications of its normal myelin sheath. Myelin periodicity is normal from one lamella to another irrespective of its adaxonal (the inner surface of the myelin sheath, closest to the axon) or abaxonal (the outer surface furthest from the axon) location. (electron micrographs)
