Table of Contents
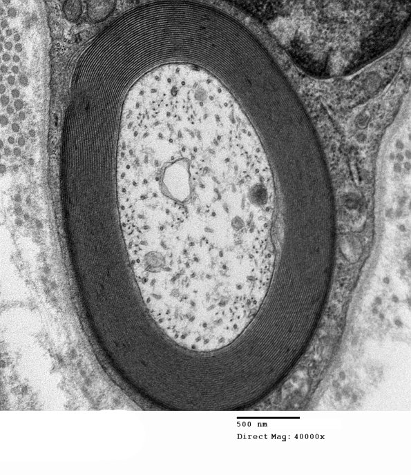
Washington University Experience | PERIPHERAL NEUROPATHY | 12 ANTI-MAG NEUROPATHY | 0A4 Anti-MAG NP (Case 0) EM 008 - Copy
Myelin periodicity is normal from one lamella to another irrespective of its adaxonal (the inner surface of the myelin sheath, closest to the axon) or abaxonal (the outer surface furthest from the axon) location. (electron micrograph)
