Table of Contents
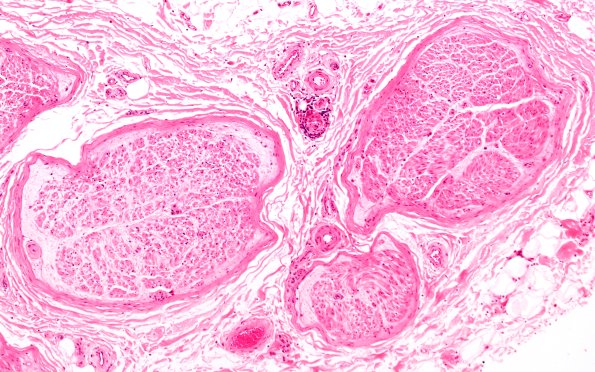
Washington University Experience | PERIPHERAL NEUROPATHY | 12 ANTI-MAG NEUROPATHY | 1A2 Anti-MAG Neuropathy (Case 1) H&E 10X 1
1A2-4 Inflammation which may be epineurial or endoneurial is often described but in the series of cases I will show is not uniform within a single case and varies from case to case. The inflammatory cells in this case include lymphocytes and, unusually, plasma cells. (H&E)
