Table of Contents
« prev
next »
Washington University Experience
|
PERIPHERAL NEUROPATHY
|
12 ANTI-MAG NEUROPATHY
|
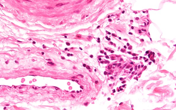
1A4 Anti-MAG Neuropathy (Case 1) H&E 60X 2
The inflammatory cells in this case include lymphocytes and, unusually, plasma cells. (H&E)
Image Info
Camera Maker:
Olympus
Camera Model:
DP74
Shutter Speed:
19/2194 sec
Metering Mode:
Multi-Spot
Gallery RSS
|
Archive View
|
Login
|
Powered by
Zenphoto