Table of Contents
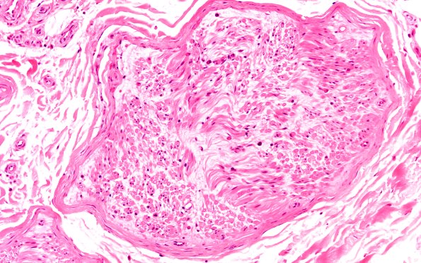
Washington University Experience | PERIPHERAL NEUROPATHY | 12 ANTI-MAG NEUROPATHY | 1A5 Anti-MAG Neuropathy (Case 1) H&E 20X 2
Individual fascicles are often pale reflecting the overall loss of myelin and myelinated axons. (H&E)
