Table of Contents
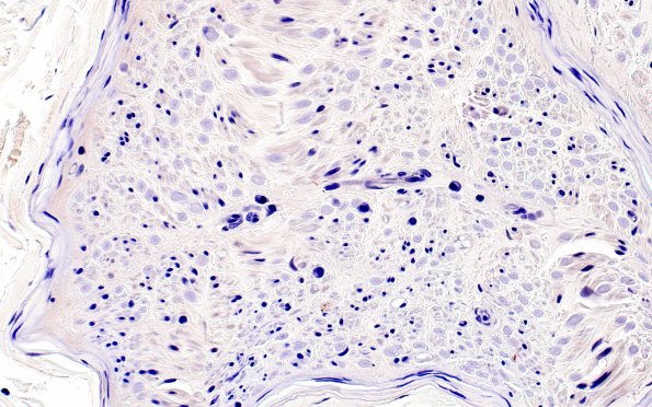
Washington University Experience | PERIPHERAL NEUROPATHY | 12 ANTI-MAG NEUROPATHY | 1B3 Anti-MAG Neuropathy (Case 1) Neg Control 40X 2
1B3,4 There are numerous plasma cells within the endoneurium. Do they correlate with the extent of myelinopathy by directly contributing to the intra-axonal titers of anti-MAG antibody? (negative immunostain)
