Table of Contents
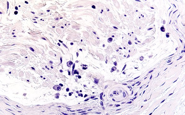
Washington University Experience | PERIPHERAL NEUROPATHY | 12 ANTI-MAG NEUROPATHY | 1B4 Anti-MAG Neuropathy (Case 1) Neg Control 60X 1
There are numerous plasma cells within the endoneurium. Do they correlate with the extent of myelinopathy by directly contributing to the intra-axonal titers of anti-MAG antibody? (negative immunostain)
