Table of Contents
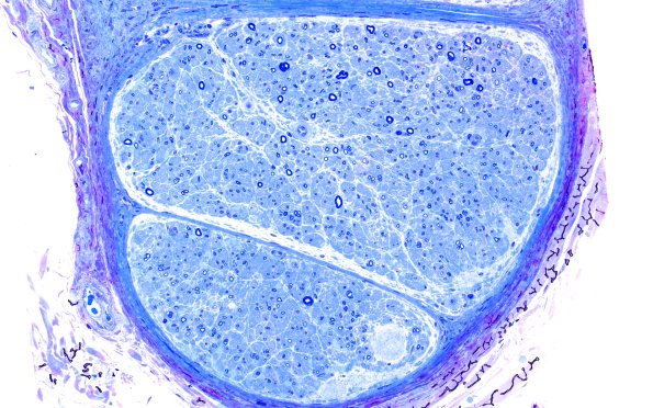
Washington University Experience | PERIPHERAL NEUROPATHY | 12 ANTI-MAG NEUROPATHY | 1D2 Anti-MAG NP (Case 1) Plastic 20X 1
Two low magnification images of one-micron thick, toluidine blue stained plastic embedded sections show marked loss of myelinated axons. The second image shows a Renaut body. (plastic sections)
