Table of Contents
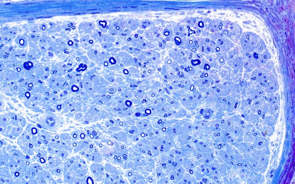
Washington University Experience | PERIPHERAL NEUROPATHY | 12 ANTI-MAG NEUROPATHY | 1D3 Anti-MAG NP (Case 1) Plastic 40X 2
Higher magnification images show marked loss of large myelinated axons and a lesser degree of small myelinated axon loss. (plastic section)
