Table of Contents
Washington University Experience | PERIPHERAL NEUROPATHY | 12 ANTI-MAG NEUROPATHY | 1D4 Anti-MAG NP (Case 1) Plastic 100X 1 copy
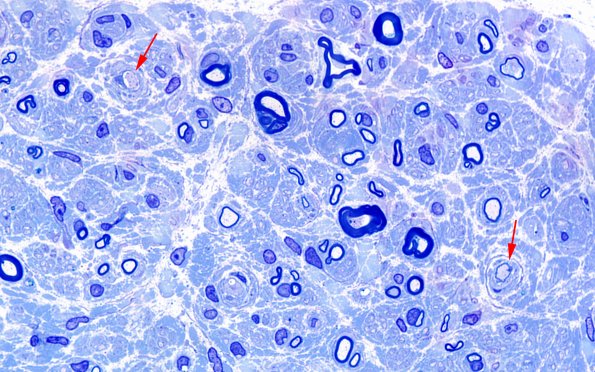
In this section there are rare large myelinated axons, numerous thinly myelinated axons, a few thinly myelinated for axon caliber and several demyelinated axons with hints of onion bulbs (arrows).
