Table of Contents
Washington University Experience | PERIPHERAL NEUROPATHY | 12 ANTI-MAG NEUROPATHY | 1E10A Anti-MAG (Case 1) _025 - Copy
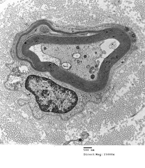
1E10A,B Although the outermost lamellae are preferentially involved, the pattern often varies. (electron micrographs)
