Table of Contents
Washington University Experience | PERIPHERAL NEUROPATHY | 12 ANTI-MAG NEUROPATHY | 1E10B Anti-MAG (Case 1)_026 - Copy
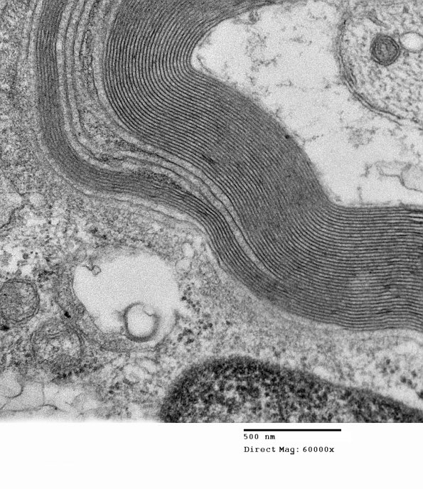
Although the outermost lamellae are preferentially involved, the pattern often varies. (electron micrographs)
