Table of Contents
Washington University Experience | PERIPHERAL NEUROPATHY | 12 ANTI-MAG NEUROPATHY | 1E11A Anti-MAG NP (Case 1) EM 020 - Copy
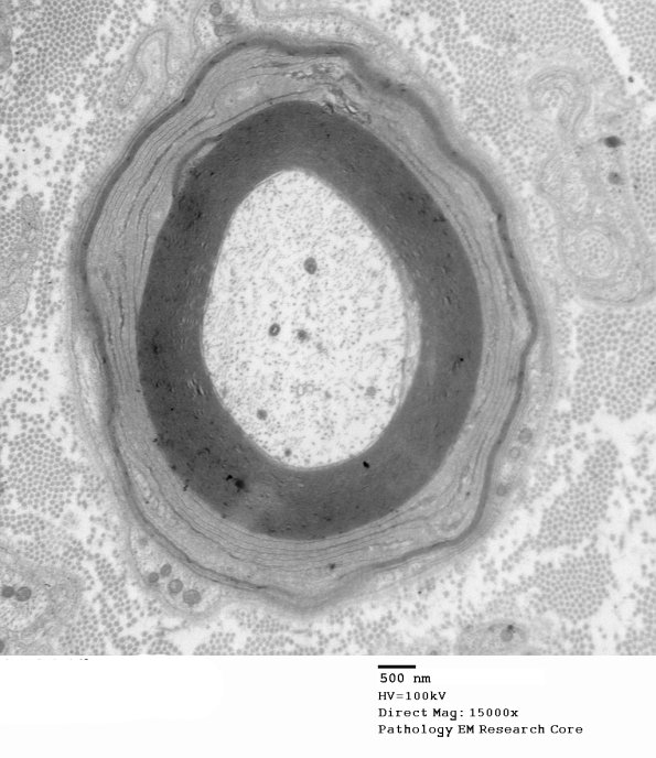
1E11A,B In some cases the lamellae are extensively tangential and may obscure the nature of the process. (electron micrographs)
