Table of Contents
Washington University Experience | PERIPHERAL NEUROPATHY | 12 ANTI-MAG NEUROPATHY | 1E11B Anti-MAG NP (Case 1) EM 021 - Copy
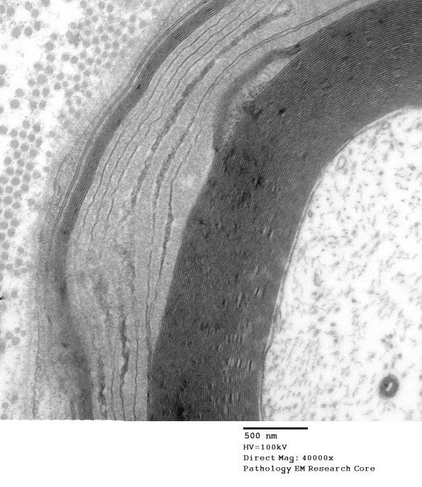
In some cases the lamellae are extensively tangential and may obscure the nature of the process. (electron micrograph)
