Table of Contents



Washington University Experience | PERIPHERAL NEUROPATHY | 12 ANTI-MAG NEUROPATHY | 1E13A Anti-MAG (Case 1) 004 - Copy

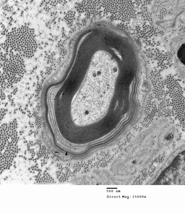
1E13A Anti-MAG (Case 1) 004 - Copy
1E13A,B Additional examples of WSM. (electron micrographs)


Gallery RSS RSS Feed | Archive View | Login | Powered by Zenphoto