Table of Contents



Washington University Experience | PERIPHERAL NEUROPATHY | 12 ANTI-MAG NEUROPATHY | 1E13B Anti-MAG (Case 1)_005 - Copy

1E13B Anti-MAG (Case 1)_005 - Copy
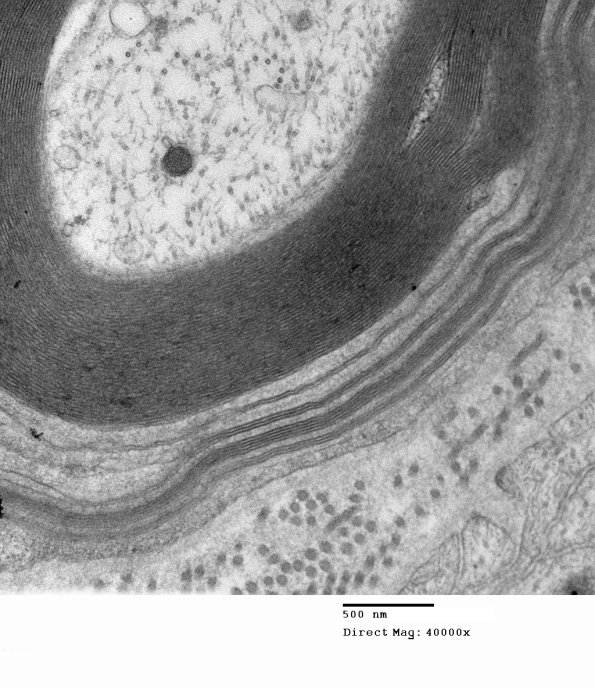
Additional examples of WSM. (electron micrograph)


Gallery RSS RSS Feed | Archive View | Login | Powered by Zenphoto