Table of Contents



Washington University Experience | PERIPHERAL NEUROPATHY | 12 ANTI-MAG NEUROPATHY | 1E14A Anti-MAG (Case 1)_006 - Copy

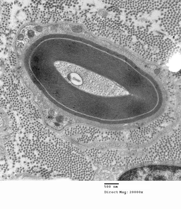
1E14A Anti-MAG (Case 1)_006 - Copy
1E14A,B A well preserved example of WSM. (electron micrographs)


Gallery RSS RSS Feed | Archive View | Login | Powered by Zenphoto