Table of Contents



Washington University Experience | PERIPHERAL NEUROPATHY | 12 ANTI-MAG NEUROPATHY | 1E15A Anti-MAG (Case 1) 017 - Copy

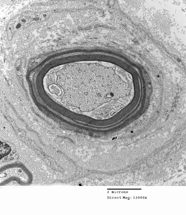
1E15A Anti-MAG (Case 1) 017 - Copy
1E15A-D Multiple magnifications of WSM in a well preserved case. (electron micrographs)


Gallery RSS RSS Feed | Archive View | Login | Powered by Zenphoto