Table of Contents



Washington University Experience | PERIPHERAL NEUROPATHY | 12 ANTI-MAG NEUROPATHY | 1E15C Anti-MAG (Case 1)_014 - Copy

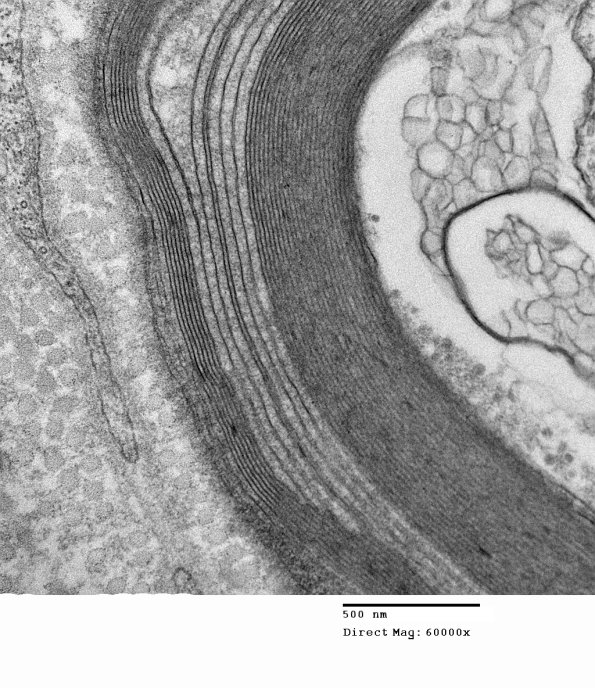
1E15C Anti-MAG (Case 1)_014 - Copy
Multiple magnifications of WSM in a well preserved case. (electron micrograph)


Gallery RSS RSS Feed | Archive View | Login | Powered by Zenphoto