Table of Contents
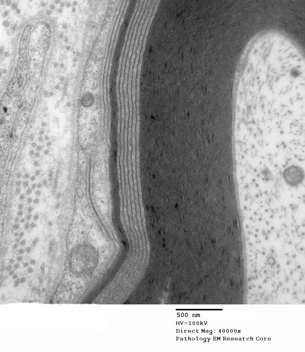
Washington University Experience | PERIPHERAL NEUROPATHY | 12 ANTI-MAG NEUROPATHY | 1E2B Anti-MAG NP (Case 1) EM 023 - Copy
Several magnifications of WSM showing marked differences in periodicity of myelin. (electron micrographs)
