Table of Contents
Washington University Experience | PERIPHERAL NEUROPATHY | 12 ANTI-MAG NEUROPATHY | 1E5B Anti-MAG (Case 1) 007 - Copy
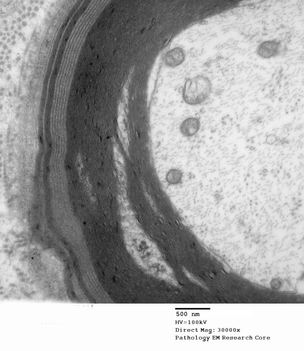
In this axon the higher magnification images show the delicate major dense lines are harder to decipher when they are cut more tangentially. (electron micrograph)
