Table of Contents
Washington University Experience | PERIPHERAL NEUROPATHY | 12 ANTI-MAG NEUROPATHY | 1E6B Anti-MAG (Case 1) 014 - Copy
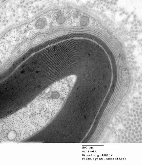
Some define the significance of WSM based on the number of lamellae involved but we have not found WSM to be a normal finding in nerve biopsies but is not pathognomonic of anti-MAG neuropathy either. (electron micrograph)
