Table of Contents



Washington University Experience | PERIPHERAL NEUROPATHY | 12 ANTI-MAG NEUROPATHY | 1E7B Anti-MAG (Case 1) 023 - Copy

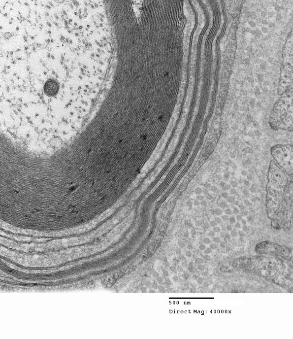
1E7B Anti-MAG (Case 1) 023 - Copy
Multi-lamellate involvement of the myelin by WSM. (electron micrographs)


Gallery RSS RSS Feed | Archive View | Login | Powered by Zenphoto