Table of Contents



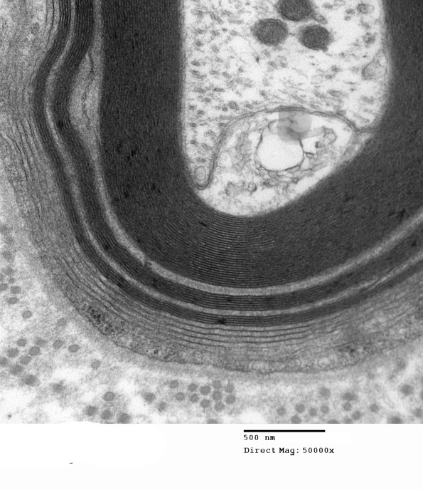
Washington University Experience | PERIPHERAL NEUROPATHY | 12 ANTI-MAG NEUROPATHY | 1E8B Anti-MAG NP (Case 1) EM 006 - Copy

1E8B Anti-MAG NP (Case 1) EM 006 - Copy
Additional WSM involving this axon. (electron micrograph)


Gallery RSS RSS Feed | Archive View | Login | Powered by Zenphoto