Table of Contents



Washington University Experience | PERIPHERAL NEUROPATHY | 12 ANTI-MAG NEUROPATHY | 1E9C EM (Case 1) _012 - Copy

1E9C EM (Case 1) _012 - Copy
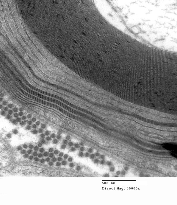
Particularly complex WSM involving multiple lamellae. (electron micrographs)


Gallery RSS RSS Feed | Archive View | Login | Powered by Zenphoto