Table of Contents
Washington University Experience | PERIPHERAL NEUROPATHY | 12 ANTI-MAG NEUROPATHY | 1F1A Anti-MAG (Case 1) _002 - Copy
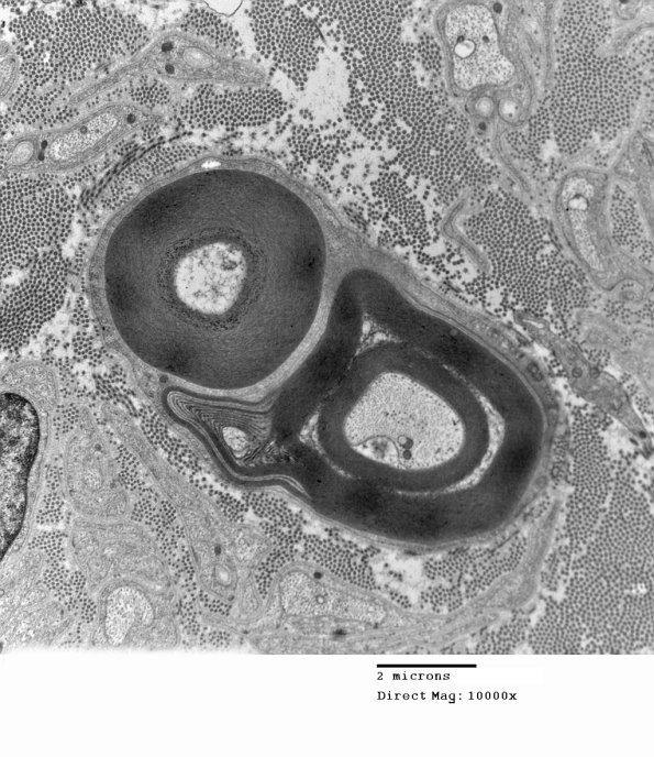
1F1A,B WSM is often encountered in axons with other myelin abnormalities, in this case a hyper-myelinated axon segment. (electron micrographs)
