Table of Contents
Washington University Experience | PERIPHERAL NEUROPATHY | 12 ANTI-MAG NEUROPATHY | 1F1B Anti-MAG (Case 1)_003 - Copy
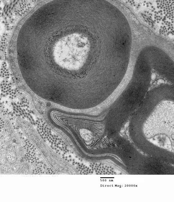
WSM is often encountered in axons with other myelin abnormalities, in this case a hyper-myelinated axon segment. (electron micrographs)
