Table of Contents
Washington University Experience | PERIPHERAL NEUROPATHY | 12 ANTI-MAG NEUROPATHY | 1F2 Anti-MAG (Case 1) #2_013 - Copy A
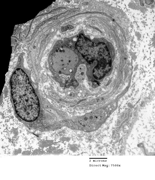
This axon is demyelinated with evidence of prior episodes of demyelination and remyelination in the form of an onion-bulb. (electron micrograph)
